Presented by Jennifer Vickers, MD
Educational dermpath case series for dermatology residents
Patient: 27-year-old male
Lesion Location: Scrotum
A biopsy of a verrucous lesion on the scrotum was performed.
Take a moment to review the histologic images below, do you know how Dr. Vickers came to this diagnosis?

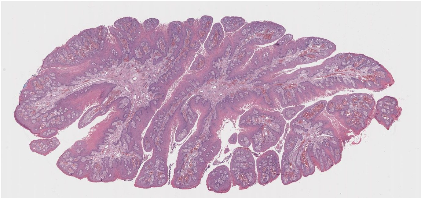
(Low-power histologic view of verrucous lesion)
On examination, several defining features stand out:

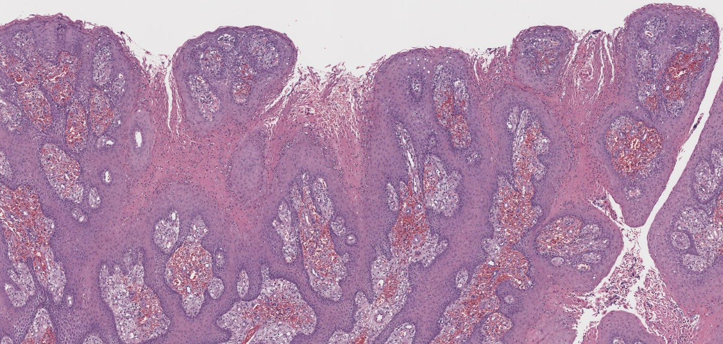
(Medium power showing papillomatosis)

(High power showing parakeratosis and neutrophils)

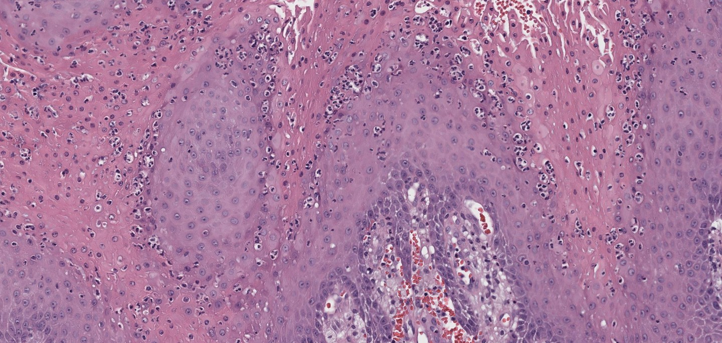
(High power showing foamy macrophages in dermal papillae)
When evaluating a verrucous lesion like this, several differentials come to mind. Let’s walk through the three most likely contenders and highlight what sets them apart.
Etiology: Human papillomavirus (HPV), most commonly types 6 and 11
Histology:
Key Distinction:
Although condyloma and verruciform xanthoma both exhibit papillomatosis, koilocytes are the hallmark of condyloma. Verruciform xanthoma, in contrast, lacks HPV-associated changes.
Etiology: HPV (types 2 and 4 most common)
Histology:
Key Distinction:
While verruca vulgaris and verruciform xanthoma share a verrucous architecture, verruca vulgaris displays viral cytopathic effect and lacks the xanthomatous infiltrate that defines verruciform xanthoma.
Etiology: Low-grade variant of squamous cell carcinoma
Histology:
Key Distinction:
Unlike verruciform xanthoma, verrucous carcinoma shows invasive downward growth and a more aggressive epithelial proliferation. No foamy macrophages are seen.
The presence of foamy macrophages (lipid-laden histiocytes) within dermal papillae is diagnostic. This lesion is not associated with HPV, setting it apart from other verrucous lesions in the anogenital region.
📚 Quick Summary
| Feature | Verruciform Xanthoma | Condyloma Acuminatum | Verruca Vulgaris | Verrucous Carcinoma |
| HPV-related | ❌ No | ✅ Yes | ✅ Yes | ❌ No |
| Foam cells | ✅ Present | ❌ Absent | ❌ Absent | ❌ Absent |
| Koilocytosis | ❌ Absent | ✅ Present | ✅ Possible | ❌ Absent |
| Invasive growth | ❌ No | ❌ No | ❌ No | ✅ Yes |
| Behavior | Benign | Benign | Benign | Locally aggressive |
💬 Final Thought
Verruciform xanthoma is a classic dermatopathology “look-alike” that rewards careful microscopic examination. Remember: the foam cells tell the story.
Sagis Diagnostics is proud to support dermatology residents and dermatology residency programs through high-quality educational content and histopathologic learning resources.
Follow us on Instagram for more micro-learning opportunities with interactive cases and pathology insights.
Are you interested in viewing other dermpath diagnostic videos like this?
Type a diagnosis in the search window below to see applicable videos.
Related Case Reviews
Join Our Dermpath Educational Community
Access expert-led content, and stay in the loop on upcoming sessions and resources from our Dermpath Educational community.
There are no specimen slides available for this interview session. Enjoy the session!
Did you know we are a diagnostic lab?
Sagis Dermatopathology delivers accurate, timely diagnoses with dedicated support from our lab team and direct access to our dermatopathologists.
CAREER RESOURCES
Looking for a Job after Graduation?
Click: https://www.sagisdx.com/post-residency-fellowship/
Let us know what you’re looking to specialize in. We’ll help connect you to our wide network.